Dental Services
Technology
Cone Beam CBCT
We offer state of the art 3-D x-ray imaging which allows a superior diagnostic level to 2-dimensional imaging. This imaging allows us to find pathology and plan implant cases with a level of precision beyond anything we could imagine 10 years ago.

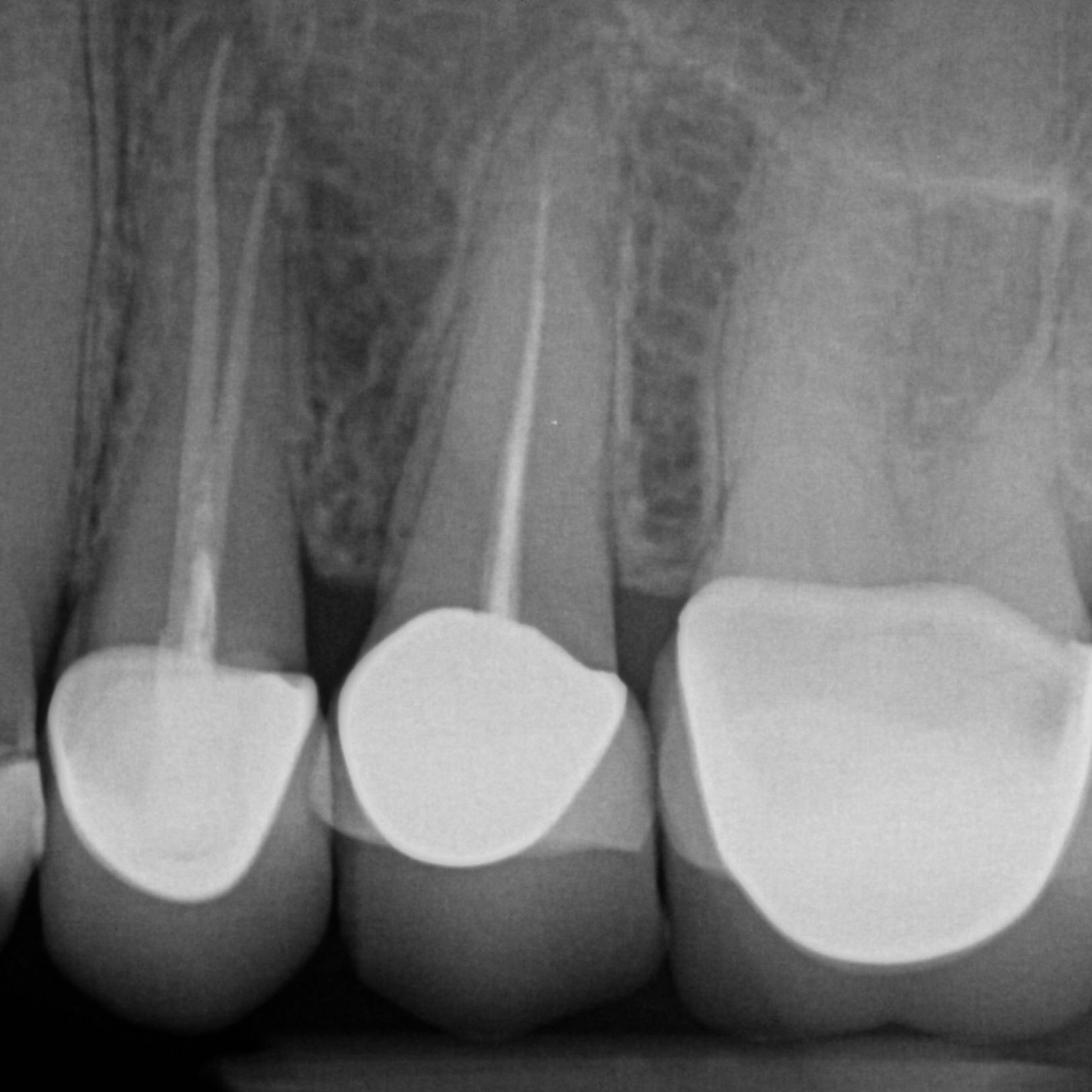
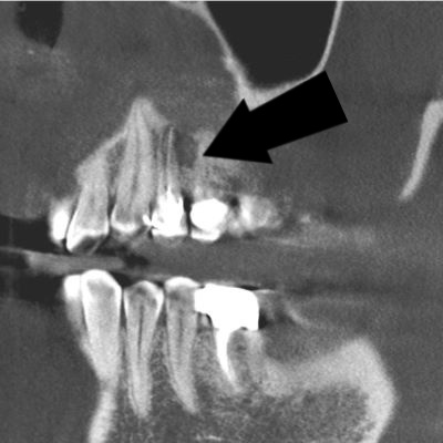
The patient was having vague pain in the upper left. The 2 dimensional xray appeared to be within normal limits.

3-D x-ray shows an obvious dark shadow indicating an abscess.
Digital implant planning and the surgical guides they generate simplify the process
Velscope Cancer Screening
Fluorescence technology is at the fore front with this cancer screening device. We offer this technology to aid in early detection of suspicious areas.
Digital 2-D X-ray
Two-dimensional digital x-ray is still the best technology for decay diagnosis. Digital 2-D x-rays offer higher resolution at a fraction of the radiation of film and the images are instantly available.
Dental Implants
If your health and anatomy allow, there is no better option today for replacing missing teeth than dental implants. Since 2007, Dr. Mueller has placed over 600 dental implants right here in Chaffee County. Whether you are missing one or all of your teeth, we would love the opportunity to discuss your treatment options with you. We have the knowledge and experience to help you separate fact from fiction on dental implant options.
Full Mouth Options
The most widely advertised implant options involve those who have or will lose all of the teeth in at least one arch of the mouth. The following are the most common ways of dealing with this situation.
Fixed Bridges
When most or all of the teeth are missing in an arch, they can be replaced with non-removable bridges on as few as 4 implants for an entire arch. This is the most natural means to restore a patient’s smile.
Snap In Removable
For some patients, the easier maintenance of a denture that snaps onto implants is the right answer. A snap in denture or partial is an excellent solution. Implants are placed and half of a snap is put on the implant and the other half inside the denture or partial. The implants and snaps keep the denture in place, but the denture can be removed for easier cleaning. This option is also a good solution if budget requires fewer implants to be placed.
Single Tooth Options
When a tooth is lost, an implant is essentially a fake tooth root. After the implant is placed and allowed to heal in, a tooth is attached. With 3-D x-ray and digital planning, the results can be excellent.
Full Mouth Reconstructions/ Comprehensive Reconstructions
If you are suffering from ongoing pain, breaking restorations, or abnormal wear on your natural teeth, there may be deeper issues. The system your teeth function in is surprisingly complex. In many people, who have complex dental needs, their bite has changed in unstable ways. Often there is a difference between the position where their teeth fit together the best and the position in which their jaw is the most stable. In our larger reconstructions, whether on natural teeth or implants, we work to assure the jaw anatomy and bite work together harmoniously. By working on synchronizing the jaw component of the bite with the tooth component of the bite, we have helped patients achieve stable long-term results.
General Dental Services
Fillings
One of the most common dental issues people face is decay. There are numerous materials to choose from to restore the tooth. Tooth colored composite fillings are often an excellent choice. Amalgam or “silver” fillings are still used at times as well. We’d be happy to discuss your options with you.
Crowns/Inlays/Onlays
When extensive tooth structure is missing due to decay or fracture, the tooth can be rebuilt to full function with these restorations. Essentially a helmet for the tooth, they allow the tooth to function and minimize the chance of fracture. By being made in a specialized laboratory, the shape and strength can be idealized.
Preventative
The best dentistry is no dentistry. Obviously this ideal is rarely realized. With proper diagnosis, regular checkups, and minimally invasive treatments, we strive to keep our long-term patients from ever needing more significant work. If you do develop the need, we will take care of you.
Occlusal Guards/Nightguards
Somewhere between preventative dentistry and our most complex reconstructions lies occlusal guards. Patients who exhibit wear, jaw pain, or facial pain may benefit from occlusal guards. By essentially creating an ideal bite in hard plastic, the teeth, jaw and facial muscles are protected and allowed to relax.






